Se realiza TC de cerebro sin administración de medio de contraste intravenoso, protocolo estándar para estudio de evento cerebrovascular agudo.
El examen incluye:
Adquisición helicoidal volumétrica.
Reconstrucciones multiplanares con reformateo en los tres planos ortogonales:
Imágenes en VRT (Técnica de Volumen Rendering) de la estructura interna del cráneo.
El estudio presenta buena calidad diagnóstica, sin artefactos por movimiento.
Los artefactos observados corresponden exclusivamente a material hiperdenso de probable origen metálico, generando artefactos lineales (streak artifacts), lo cual no limita la evaluación global del parénquima cerebral.



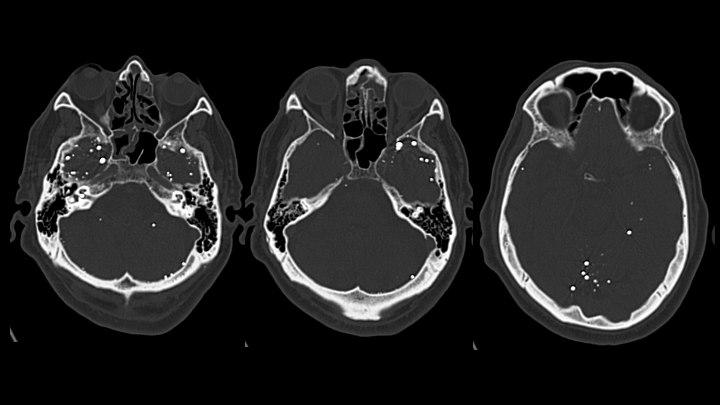
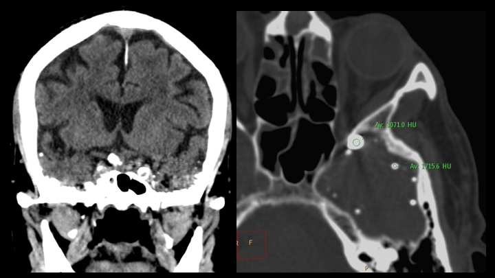
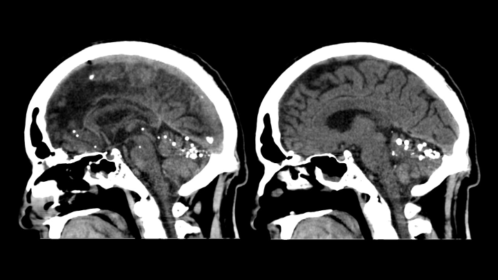
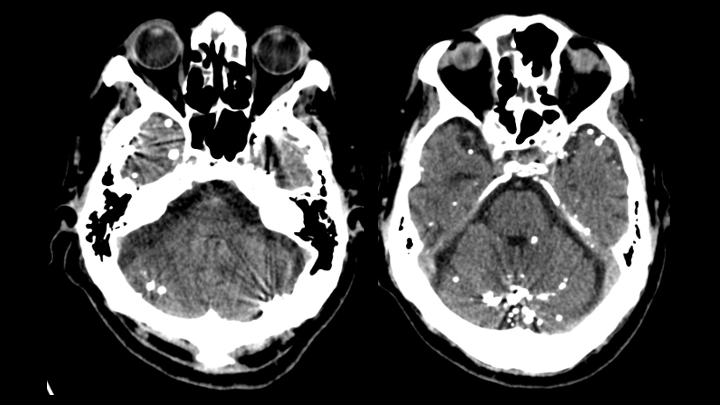
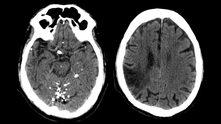
Se observan múltiples pequeños focos de material hiperatenuante dispersos en los espacios de circulación del LCR en la base del cráneo (localización extraaxial).

Se identifican múltiples pequeñas hiperdensidades intratecales, de tamaños variables.

El material presenta densidad metálica y genera artefactos en estría (streak artifacts).

El parénquima cerebral muestra cambios encefalomalácicos crónicos en territorio de la arteria cerebral media derecha, compatibles con secuela de infarto previo.
HEMORRAGIA SUBARACNOIDEA
o Se considera porque:
o Se descarta porque:
CALCIFICACIONES LEPTOMENINGEAS
o Se consideran porque:
o Se descartan porque:
CUERPOS EXTRAÑOS METÁLICOS
o Se consideran porque:
o Se descartan porque:
CONTRASTE OLEOSO INTRATECAL ANTIGUO (diagnóstico más probable)
o Se considera porque:
También conocido como Myodil, fue un medio de contraste a base de aceite (nombre genérico: iofendilato) que anteriormente se utilizaba para la mielografía.
Desde 1944, Pantopaque fue aparentemente el agente intratecal más popular, ya que permitía una buena reproducción de la imagen con adecuado contraste entre los diferentes elementos intratecales; sin embargo, pronto se descubrió que causaba aracnoiditis, aunque se mantuvo en uso clínico hasta 1986, cuando la Food and Drug Administration finalmente prohibió su comercialización en Estados Unidos debido a su lenta eliminación (1 mL/año) y su alta osmolaridad.
Publicado por: MG. DAVID PUYÓ VERA - CHILE
Fecha de publicación: 2026-04-02
© DIMENSIÓN RADIOLÓGICA. TODOS LOS DERECHOS RESERVADOS